WinningSmiles Custom Dentistry & Implant Center
OFFICE HOURS
M-Th 8am-5pm, F 8am-3pm,

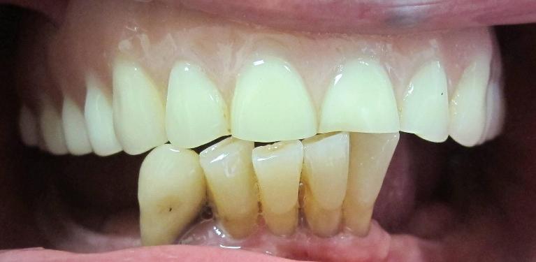
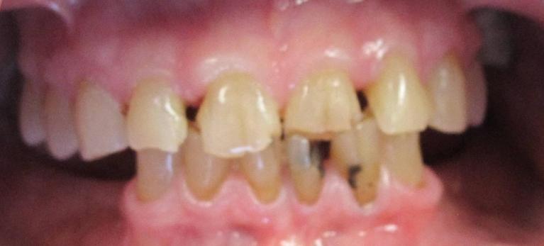
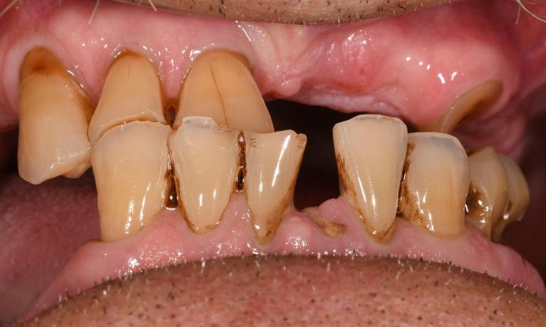
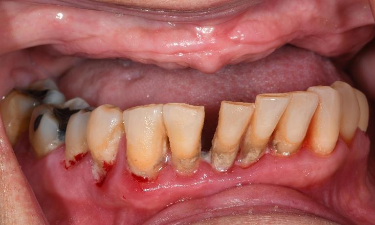
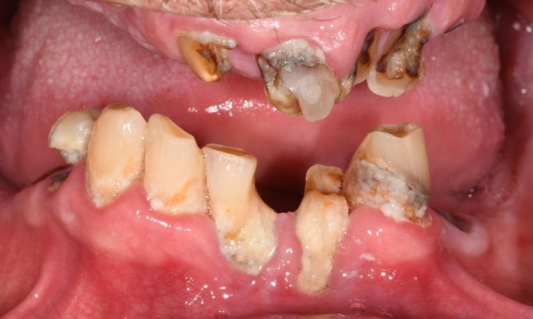
Smile Gallery: Sedation Dentistry

Dental anxiety is common and perfectly normal. Sedation dentistry is an easy way to help our patients relax and get the most from their dental treatment:

Ready to book an appointment?
Exceptional Skills

"Winning Smiles is the absolute best in dentistry. Not only are their skills exceptional, but they make their patients comfortable and at ease. I wish people were all this way, I recommend this dental office to everyone, you couldn't find a better place" - Melissa

If you have difficulty using our website, please email us or call us at (909) 822-3003
View the ADA Accessibility Statement