Smile Gallery: Cosmetic & General Dentistry
We let our results speak for themselves. Take a look at how cosmetic dentistry can transform your smile!
Don’t let pain keep you from sharing your smile! Transform your smile with confidence.
We are specialists in Cosmetic Dentistry & Full Mouth Rehabilitation. Knowledge of the material selection and Experience are important keys for a successful outcome. Patient is so happy with her smile and can be confident.
Full mouth rehabilitation using dental implants, crowns, and bridges. The patient got the WinningSmiles and is very happy with the results.
We were able to replace this veneer the same day using our most advance technology and our in house master technician. We even did a better esthetic than the previous veneer.
Crowns and veneers to achieve this pretty smile.
Full mouth rehabilitation with veneers and crowns. A beautiful natural smile :)
Restore your smile's beauty and integrity with our high-quality crown and cosmetic resin fillings – experience the confidence of a renewed smile!
Beautiful veneers to restore chipped front teeth.
Internal bleaching after a root canal treatment. No crown was needed to improve the esthetic.
Beautiful Feldspathic Porcelain. Nothing but the best for our patients.
Immediate Implant was placed after tooth extraction. The patient had a fixed temporary crown for 6 months until healing then restored.
Our patients deserve to have smiles they feel great about. The patient was thrilled with the result.
We used cosmetic fillings, a crown, and an implant, all in a beautiful harmony, to restore this patient's smile. The patient is getting many compliments.
An accident caused the loss of the front tooth of this young man. A dental implant is often the best way to restore a natural smile and regain confidence.
The patient was missing one of their canines. We used porcelain crowns and veneers to get this beautiful smile result.
This patient came in wanting to restore their worn two front teeth. We applied cosmetic crowns for a fresh, beautiful result!
We used cosmetic crowns to whiten, brighten, and restore this patient's discolored front teeth.
Get your teeth Straighten as short as 6 months. You clean your teeth and by the time you are due for the 6 months cleaning your teeth are straight.
Same-day treatment to make the lateral tooth looks better. Bonding (Composite Veneer) was done using the highest quality Resin filling from Cosmedent.
This patient received a full mouth rehabilitation through our cosmetic dental services!
The patient had trauma on the front tooth. Treated with root canal therapy and internal bleaching. No veneer or bonding was needed
Porcelain Veneer. The patient didn't like the changing color of the composite Veneers and wanted something stable in Color.
Bonding to Close Diastema. Fast and can be done on the same day.
Full Mouth Rehabilitation WinningSmiles Custom Dentistry & Implant Center Dentist Fontana
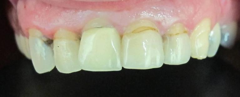
The patient wants to keep the natural look of the front four teeth. White spots were customized on the crowns & veneers to create this beautiful smile.
This masterpiece cosmetic filling restored the chip in this patient's front tooth.
This patient received a cosmetic filling to restore their tooth to its natural beauty. Our cosmetic fillings blend seamlessly with the rest of your smile.
This patient received same-day premier cosmetic fillings, resulting in a more complete smile!
This patient wanted to align their smile but preferred to do so without braces. Instead, we performed quality cosmetic fillings to create a perfect smile! With this method, we were able to bring the teeth together and eliminate unusual spacing.
Our cosmetic dentist in Fontana first had the patient come in for a consultation and then decided that a beautiful smile could be had without orthodontics!
Cosmetic Dentistry in Fontana
If you're considering cosmetic dentistry and would like to schedule a consultation, give us a call today.
"Winning Smiles is the absolute best in dentistry. Not only are their skills exceptional, but they make their patients comfortable and at ease. I wish people were all this way, I recommend this dental office to everyone, you couldn't find a better place" - Melissa