Smile Gallery
An attractive and healthy smile can make a remarkable difference in every aspect of your life. We're proud of the work we do and excited to show off some of the amazing transformations we've helped to create!
Take a look to see what's possible and then give us a call!
Disclaimer note: The before and after results shown here may not occur for all patients. A consultation with one of our dentists will help you determine your potential outcomes.
Don’t let pain keep you from sharing your smile! Transform your smile with confidence.
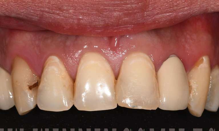
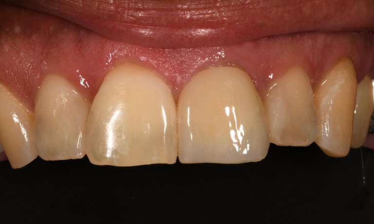
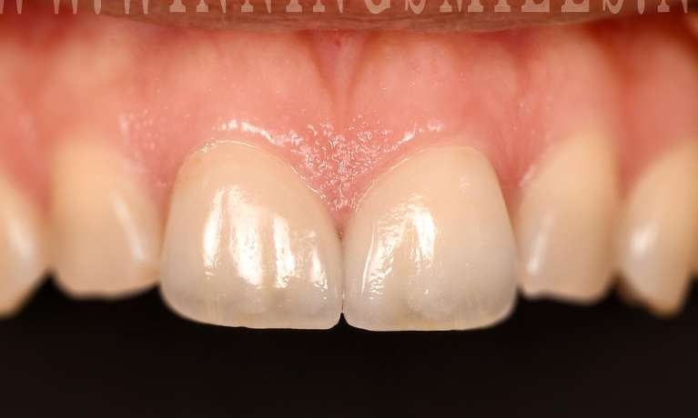
We are specialists in Cosmetic Dentistry & Full Mouth Rehabilitation. Knowledge of the material selection and Experience are important keys for a successful outcome. Patient is so happy with her smile and can be confident.
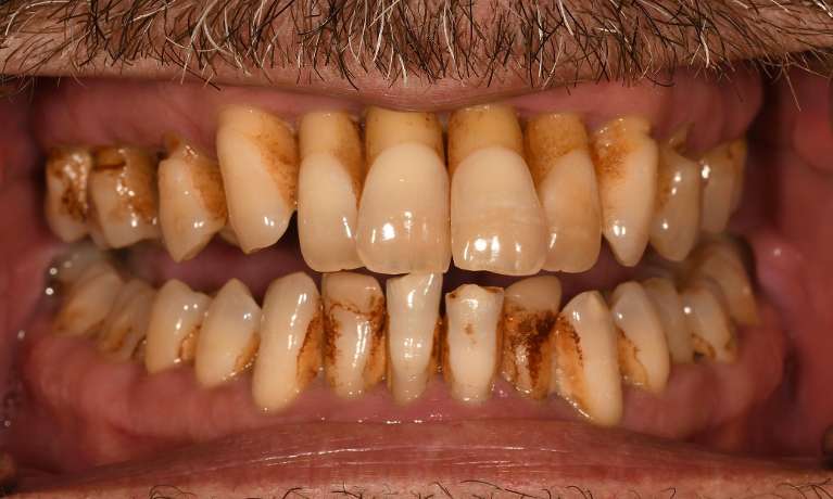
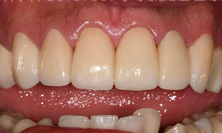
Full mouth rehabilitation using dental implants, crowns, and bridges. The patient got the WinningSmiles and is very happy with the results.
Used Special designed implants to avoid losing a lot of bone and delivered this beautiful smile.
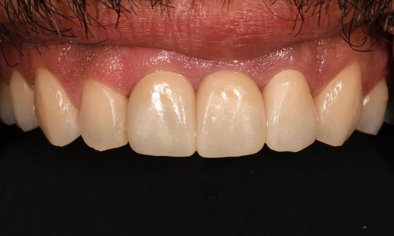
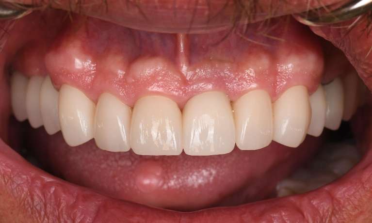
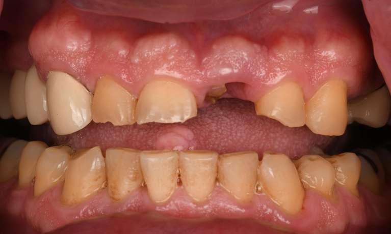
Full mouth rehabilitation for hopeless dentitions. Implants were used to hold a zirconia bridge.
Well fitted Quality dentures with some implants for retention. A happy and healthy patient.
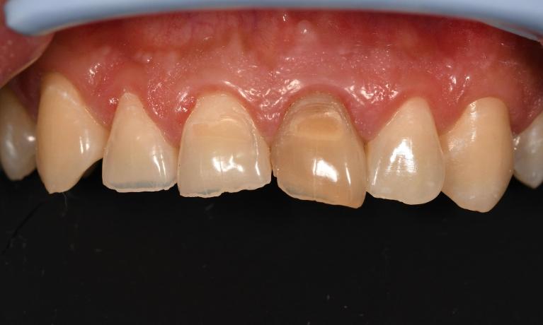
We were able to replace this veneer the same day using our most advance technology and our in house master technician. We even did a better esthetic than the previous veneer.
Crowns and veneers to achieve this pretty smile.
Full mouth rehabilitation with veneers and crowns. A beautiful natural smile :)
Rehabilitation of the lower arch with 3 implants and an premium overdenture.
Restore your smile's beauty and integrity with our high-quality crown and cosmetic resin fillings – experience the confidence of a renewed smile!
Full mouth rehabilitation. The best for our patients. 12 implants were used to make this gorgeous smile.
We used dental implants to support this nice porcelain-layered zirconia bridge for the upper and lower arches. Now this patient can chew a steak, an apple, or anything he wants. This is a high quality of life.
Beautiful veneers to restore chipped front teeth.
We used dental implants in the upper and lower arches to achieve this gorgeous smile.
Internal bleaching after a root canal treatment. No crown was needed to improve the esthetic.
Beautiful Feldspathic Porcelain. Nothing but the best for our patients.
Immediate Implant was placed after tooth extraction. The patient had a fixed temporary crown for 6 months until healing then restored.
Our patients deserve to have smiles they feel great about. The patient was thrilled with the result.
We used cosmetic fillings, a crown, and an implant, all in a beautiful harmony, to restore this patient's smile. The patient is getting many compliments.
An accident caused the loss of the front tooth of this young man. A dental implant is often the best way to restore a natural smile and regain confidence.
The patient was missing one of their canines. We used porcelain crowns and veneers to get this beautiful smile result.
This patient came in wanting to restore their worn two front teeth. We applied cosmetic crowns for a fresh, beautiful result!
Braces for six months quickly and dramatically perfected this patient's smile! Book a consultation with us to learn more about Six Month Smiles.
We used cosmetic crowns to whiten, brighten, and restore this patient's discolored front teeth.
This patient was missing several teeth. We fit them with an implant-supported prosthesis, resulting in a beautiful, natural-looking smile!
We fit this patient with an Implant Supported Prosthesis for a complete, straightened, and beautiful final result!
Get your teeth Straighten as short as 6 months. You clean your teeth and by the time you are due for the 6 months cleaning your teeth are straight.
Same-day treatment to make the lateral tooth looks better. Bonding (Composite Veneer) was done using the highest quality Resin filling from Cosmedent.
This patient wanted a beautiful smile and decided dentures were the best course. Our Fontana dentist discussed our denture option with the patient, and they agreed on premiere dentures. Premiere dentures are modern and comfortable. They restore bite force and confidence.
Denture Options in Fontana
Our dental office offers various premium dentures and even implant-supported dentures. We can often use approximately four implants to give you fixed dentures in one day!
Contact Your Fontana Dentist
Are you considering tooth replacement? We invite you to book a consultation today.
This patient received a full mouth rehabilitation through our cosmetic dental services!
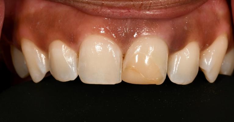
The patient had trauma on the front tooth. Treated with root canal therapy and internal bleaching. No veneer or bonding was needed
Full Mouth Rehabilitation. Same Day Treatment under Sedation. Smile in One day.
Porcelain Veneer. The patient didn't like the changing color of the composite Veneers and wanted something stable in Color.
Bonding to Close Diastema. Fast and can be done on the same day.
Full Mouth Rehabilitation WinningSmiles Custom Dentistry & Implant Center Dentist Fontana
The patient wants to keep the natural look of the front four teeth. White spots were customized on the crowns & veneers to create this beautiful smile.
Two Implants were used to support the lower denture. Dramatic change and a beautiful new smile.
This patient received a same-day, full mouth rehabilitation, also using our sedation dentistry services.
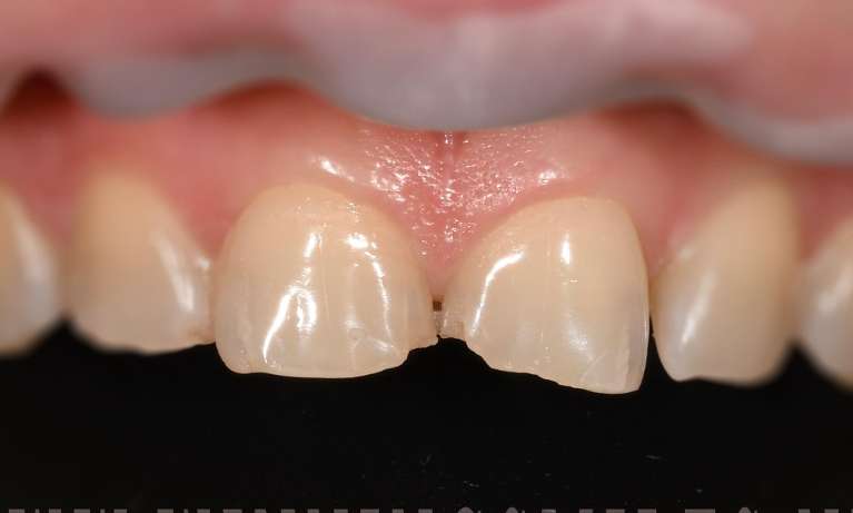
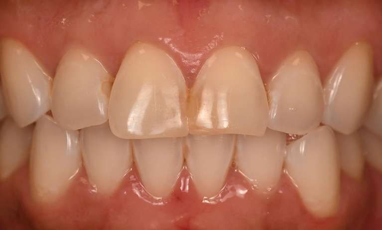
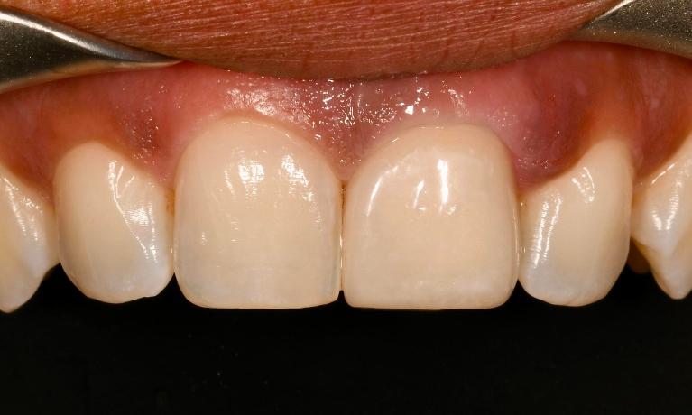
This masterpiece cosmetic filling restored the chip in this patient's front tooth.
This patient received a cosmetic filling to restore their tooth to its natural beauty. Our cosmetic fillings blend seamlessly with the rest of your smile.
This patient received same-day, full mouth rehabilitation using our sedation dentistry services.
This patient received same-day premier cosmetic fillings, resulting in a more complete smile!
Our quality and reputation speak for themselves!
This happy patient had complete tooth loss and wanted to restore his smile. The dentist had him come in for a consultation, and they decided that premiere dentures were the best way forward.
The patient received full dentures at our dental office, resulting in a natural-looking and comfortable smile.
Are You Considering Dentures in Fontana?
If you'd like to explore your tooth replacement options, including quality dentures, schedule a consultation with our dentist today.
This patient wanted to align their smile but preferred to do so without braces. Instead, we performed quality cosmetic fillings to create a perfect smile! With this method, we were able to bring the teeth together and eliminate unusual spacing.
Our cosmetic dentist in Fontana first had the patient come in for a consultation and then decided that a beautiful smile could be had without orthodontics!
Cosmetic Dentistry in Fontana
If you're considering cosmetic dentistry and would like to schedule a consultation, give us a call today.
"Winning Smiles is the absolute best in dentistry. Not only are their skills exceptional, but they make their patients comfortable and at ease. I wish people were all this way, I recommend this dental office to everyone, you couldn't find a better place" - Melissa