WinningSmiles Custom Dentistry & Implant Center
OFFICE HOURS
M-Th 8am-5pm, F 8am-3pm,

Premier Dentures

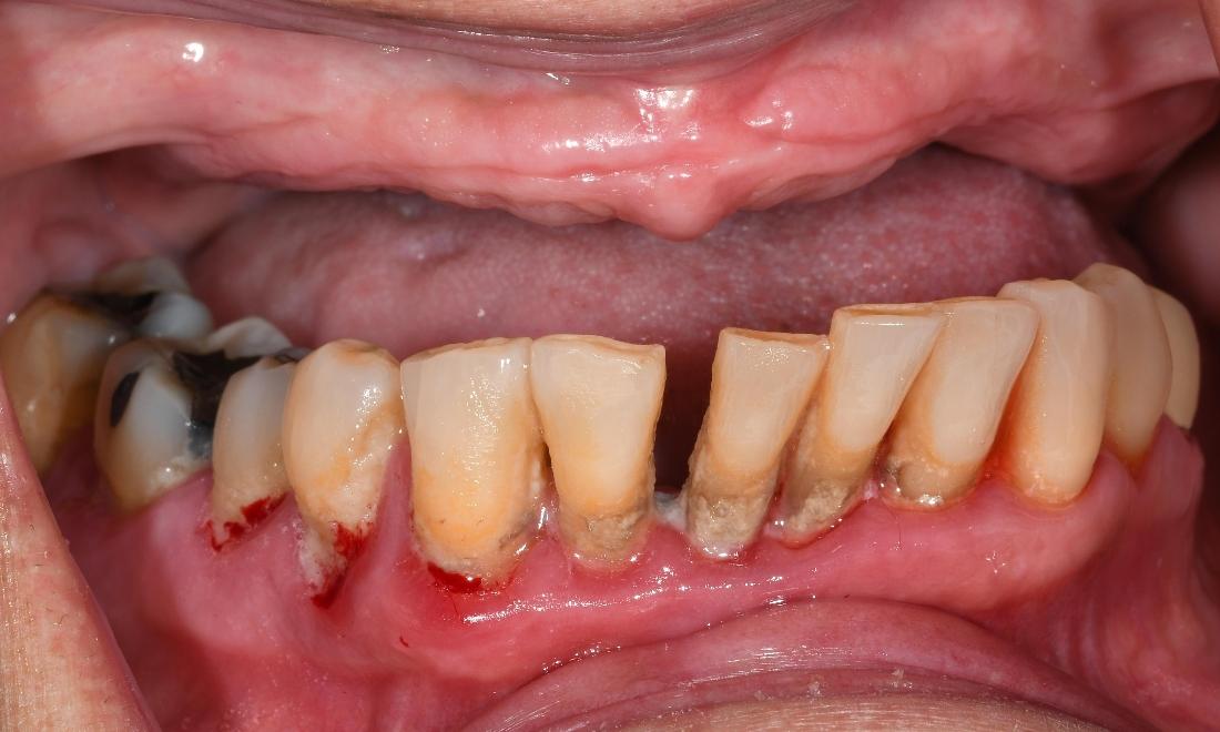
This patient wanted a beautiful smile and decided dentures were the best course. Our Fontana dentist discussed our denture option with the patient, and they agreed on premiere dentures. Premiere dentures are modern and comfortable. They restore bite force and confidence. 

Denture Options in Fontana

Our dental office offers various premium dentures and even implant-supported dentures. We can often use approximately four implants to give you fixed dentures in one day!

Contact Your Fontana Dentist

Are you considering tooth replacement? We invite you to book a consultation today. 

Service Performed By:

Mostafa Koperly
Dentures in Fontana | Before Dentures in Fontana | AFter
Ready to book an appointment?
If you have difficulty using our website, please email us or call us at (909) 822-3003
View the ADA Accessibility Statement