WinningSmiles Custom Dentistry & Implant Center
OFFICE HOURS
M-Th 8am-5pm, F 8am-3pm,

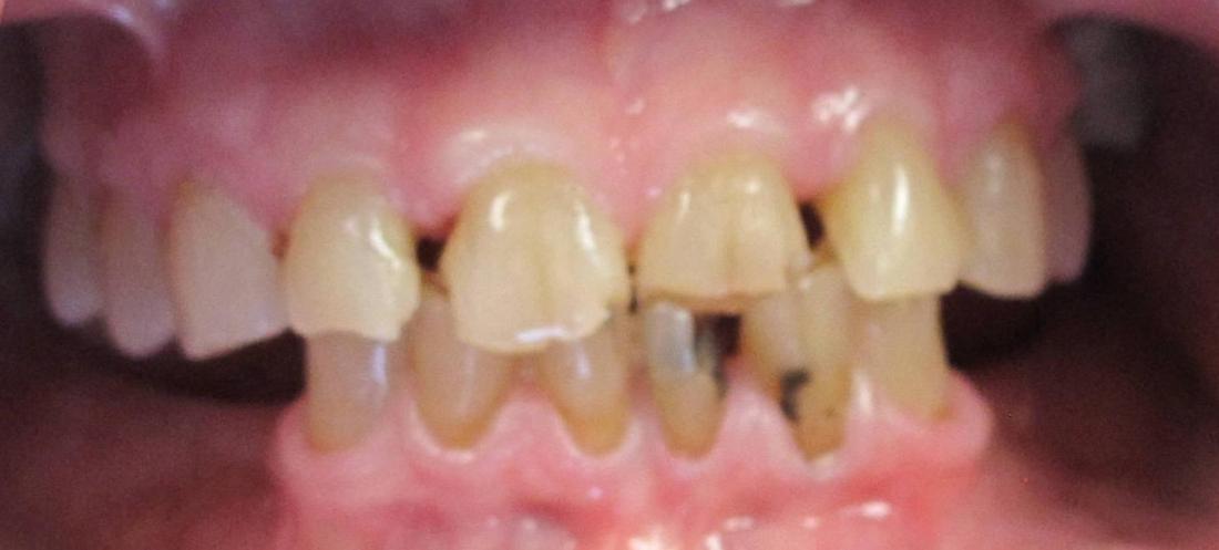
Full Mouth Rehabilitation

This patient received a full mouth rehabilitation through our cosmetic dental services!

Smile Makeover in Fontana | Before Smile Makeover in Fontana | After
Improve your smile today – call to schedule a consultation!
If you have difficulty using our website, please email us or call us at (909) 822-3003
View the ADA Accessibility Statement