WinningSmiles Custom Dentistry & Implant Center
OFFICE HOURS
M-Th 8am-5pm, F 8am-3pm,

Cosmetic Crowns & Veneers

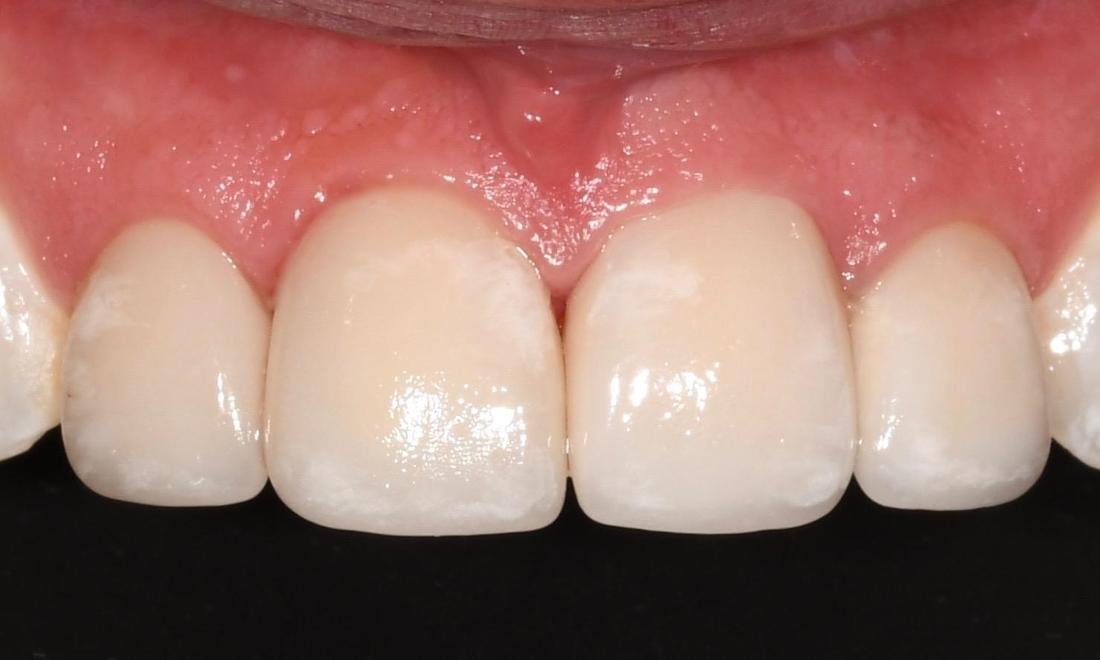
The patient wants to keep the natural look of the front four teeth. White spots were customized on the crowns & veneers to create this beautiful smile.

Related Services:

Cosmetic & General Dentistry

Service Performed By:

Mostafa Koperly
Before Cosmetic Crowns & Veneers in Winning Smiles After Cosmetic Crowns & Veneers in Winning Smiles
Improve your smile today – call to schedule a consultation!
If you have difficulty using our website, please email us or call us at (909) 822-3003
View the ADA Accessibility Statement