WinningSmiles Custom Dentistry & Implant Center
OFFICE HOURS
M-Th 8am-5pm, F 8am-3pm,

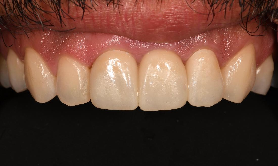
Restoring Confidence with Dental Implants

An accident caused the loss of the front tooth of this young man. A dental implant is often the best way to restore a natural smile and regain confidence. 

Before Dental Implant in Winning Smiles Fontana CA After Dental Implant in Winning Smiles Fontana CA
Great, Prompt Care

"I always receive excellent care at Winning Smiles. They work you in if you have a concern and are so prompt in taking care of it. I am always very satisfied with the service and care I receive.” Myrel

Improve your smile today – call to schedule a consultation!
If you have difficulty using our website, please email us or call us at (909) 822-3003
View the ADA Accessibility Statement